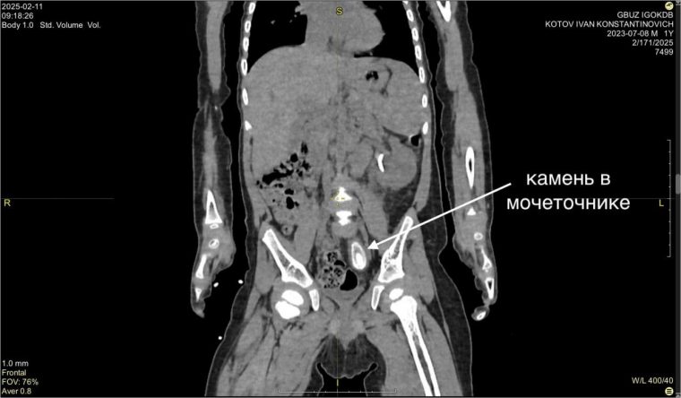
Камень в 3 см удалили из мочеточника маленького жителя Усть-Кута

Сложную операцию провел знаменитый на весь мир иркутский хирург, главный врач Иркутской областной детской клинической больницы Юрий Козлов.

post-22771 thumbnail
  • 12:05
  • 27.03.2025
  • ОбществоУсть-Кут
  • 0
  • 645

Первые признаки заболевания жительница Усть-Кута обнаружила у сына Вани еще в декабре прошлого года. На обследовании в Иркутске поставили диагноз — большой камень в нижней трети левого мочеточника размером около 3 на 1,5 см и вызванный им блок почки.

Размер камня удивил медиков — это нетипично для таких маленьких пациентов.

— Попытка внутрипросветного лечения была безуспешна — устье мочеточника не пропускало даже самую маленькую оптическую систему цистоскопа. После месяца непростого лечения с использованием нескольких антибиотиков была выполнена операция с применением нашего излюбленного подхода без разрезов — лапароскопии, — рассказывает Юрий Козлов.

Операция прошла успешно, и сегодня Ваня чувствует себя прекрасно.

Администрация УКМО

Данное сообщение (материал) создано и (или) распространено некоммерческими организациями и (или) средствами массовой информации, требующими полной отмены законодательства об иностранных агентах

Вы сможете добавить комментарий после авторизации

Присоединяйтесь! Мы в социальных сетях:

Вам также может быть интересно:

post-32541 thumbnail

#Топ новостьКриминалУсть-Кут

В Усть-Куте охранник-педофил растлевает несовершеннолетних?

Сотрудник группы быстрого реагирования охранной фирмы Старком-Бриз, замечен в очень нехорошем деле. Он заманивает несовершеннолетних девочек к себе в автомобиль и развращает их В редакцию "УК24" обратились родители несовершеннолетней девочки, которую якобы пытался растлить житель микрорайона Мостоотряд, работающий охранником в ГБР Старком-Бриз. Со слов обратившихся мы знаем, что этот человек в форме, предлагает подвести девчонок на машине и знакомится сними. Доверие к форме играет роль и постепенно через совместное курение и распитие спиртного, 27-летний мужчина, растлевает девочек. По крайней мере так сообщила родителям девочка, в отношении которой были свершены недопустимые действия. Родители других девочек воспринимают педофила как сотрудника правоохратительных органов и не идут в полицию, что в принципе не правильно. Безнаказанность порождает еще большую вседозволенность и это может закончится очень печально для очередных субъектов его поползновений. Если у кого есть более подробная информация по этой теме, напишите нам на почту emetariel200@gmail.com и мы примем все меры, чтобы правоохранительные органы стали реагировать на преступления против несовершеннолетних. Тем не менее, именно отсутствие своевременных обращений и утрата доказательной базы, чаще всего становится причиной, по которой педофилы-растлители, уходят от ответственности. Нам известны все данные предполагаемого педофила, и мы передадим их в оперативные службы. Ариэль Эмет Специально для «УК24» фото : «УК24 Канал в Телеграмм Наш Инстаграм Страничка в Одноклассник  
1869
0
20.11.2025 в 10:00
post-32502 thumbnail

#Топ новостьКриминалУсть-Кут

В Усть-Куте колумбийский вариант легализации оргпреступности начал давать сбои

Попытка заменить охранные предприятия в Усть-Куте на легализованные банды мелких гопников у нас в городе, ни к чему хорошему не привели Мы уже писали в начале этого года, как некоторые городские торговые сети и увеселительные заведения, отказались от услуг охранных агентств и правового решения своих проблем с безопасностью, и наняли в охрану тех, кто их регулярно и грабил. Вот фрагменты нашей статьи на эту тему: "...Супермаркеты начали охранять те кто их раньше грабил. Странные изменения происходят с системе охраны некоторых коммерческих объектов в Усть-Кут Судя по всему владельцы этих заведений решили кардинально сэкономить на нормальной охране, предложив маргиналам невероятные для них суммы, которые гораздо ниже рынка в охранном бизнесе. Правда главное не в этом, а в том, что такая стратегия порочна и ведет еще к более серьезным проблемам. Если бы хозяева магазинов были бы чуть пограмотнее, они смогли бы посмотреть примеры по аналогичным ситуациям в профильных бизнесах. Еще никогда смена официальной охраны на криминалитет, не приводила к уменьшению убытков. Похожие проблемы в латиноамериканских странах, всегда заканчивались плохо и бывшие гопники ставшие охраной, в подавляющем большинстве случаев воровали еще больше, имея легальный доступ к охраняемым ценностям.... В Латинской Америке в некоторых странах устали бороться с преступностью и бездействием полиции, и негласно отдали функции правопорядка на откуп криминалу. В итоге вырастили самые кровавые картели и порядка как не было, так и нет, но теперь еще и пожаловаться некому. Конечно нельзя исключить, что в скором времени в наши правоохранительные органы будут брать на работу ту криминальную чесотку, которая ушла из колоний на войну и скоро придет домой с чистой биографией. Ну неужели кто-то верит в то, что бывшие наркобарыги и убийцы, получив легальное право на насилие от государства, сделают жизнь граждан безопаснее?..." Как показал почти годовой практический опыт, ни в торговой сети Алко, на в злачных заведениях Тимура Азизова, ничего к лучшему не изменилось, а по некоторым параметрам даже ухудшилось. Кроме этого, проблемы начались даже внутри экс-криминального комьюнити. Теперь туда набирают охранниками несовершеннолетних и вдобавок ко всему, кидают их на зарплату. Так в редакцию "УК24" обратились родственники несовершеннолетнего подростка, который регулярно дежурил в магазине Алко в боулинге в Речниках. Со слов родственников малолетнего секьюрити, зарплату ему не выплачивает смотрящий за охраной Алкомаркета Влад, у которого договор на охрану торговой сети. Так как сам факт легального трудоустройства несовершеннолетнего отсутствует, а главшпан Влад на контакт не идет, то вообще отсутствует какая-либо возможность цивилизованно урегулировать трудовой спор. Так же существует вероятность того, что это не единичная проблема с конкретным несовершеннолетним охранником, а системный сбой. Иначе зачем вообще брать на вообщем то опасную работу работника, не достигшего 18-ти лет? Думаем что всем причастным к ситуации, будет лучше урегулировать спор на взаимовыгодных условиях, чтобы мы официально не просили прокуратуру разобраться с откровенным бардаком в сомнительном охранном бизнесе, на котором экономят устькутские нувориши. Ариэль Эмет Специально для «УК24» фото : "УК24 Канал в Телеграмм Наш Инстаграм Страничка в Одноклассник  
2055
0
19.11.2025 в 09:05
post-32473 thumbnail

#Топ новостьВойна с УкраинойУсть-Кут

Нелюди из Усть-Кута погибли в Украине. АРХИВ 2023 года

На войне в Украине погибли жители Иркутской области, которые при попытке угнать автомобиль застрелили семью. На двоих им дали 37 лет колонии Алексей Таюрский и Владимир Вейс из Усть-Кута были друзьями. В декабре 2015 года они пили алкоголь на даче матери Вейса. Таюрский пожаловался, что знакомый требует вернуть долг, и тогда Вейс предложил его убить. Из соседней дачи они украли охотничье ружьё и решили угнать автомобиль, чтобы доехать до города. Таюрский и Вейс вышли на дорогу и выстрелили в проезжавший мимо микроавтобус. В машине были супруги, которые возвращались домой со свадьбы сына. Владимир Вейс убил их выстрелами в голову. Угнать автомобиль не получилось — он застрял в снегу. Вейс и Таюрский забрали из салона два мобильных телефона за 3,8 тысячи рублей. От злости они стали стрелять по всем машинам, которые ехали мимо. Попали в две, но никто не пострадал. Они вернулись на дачу, где их задержали. Вейса приговорили к 23 годам колонии строгого режима, Таюрского — к 14 годам. Второго сентября этого года появилось сообщение, что оба погибли в Украине. Мать Вейса на своей странице во «ВКонтакте» опубликовала пост с наградами ЧВК «Вагнер». Фото: Алексей Таюрский (слева) и Владимир Вейс в 2012 году. Страница Таюрского в «Одноклассниках». @baikal_people  
2033
0
18.11.2025 в 06:53
post-32349 thumbnail

#Топ новостьВойна с УкраинойПроисшествияРегион38

СРОЧНО! Теракт в Киренске. Девушки подожгли подстанцию и автозаправку и пытались сжечь полицию

Две девушки и два парня в Киренске, устроили поджег важных коммунальных объектов  Полиция Киренска задержала двух молодых девушек, которые сегодня в ночное время подожгли городскую подстанцию и пытались сжечь автозаправку. Кроме этого у них был план на поджег отдела полиции и два сообщника, которые в данное время скрылись от правоохранителей. Более подробную информацию мы опубликуем чуть позже, после уточнения деталий произошедшего. Так же призываем всех быть более разборчивыми с предложениями заработать легкие деньги и стараться не общаться с незнакомыми и сомнительными личностями через Интернет. Ответственность за такие действия в данное время очень серьезная и однозначно сломает вам жизнь, даже при попытке просто пообщаться на тему поджогов объектов инфраструктуры. Будьте осторожны и бдительны! PS.
Жительнице Киренска, котора в ночь на 12 ноября подожгла трансформатор и бензоколонку, грозит до 20 лет лишения свободы за терроризм. На девушку надавили мошенники, запугав её уголовным делом за «госизмену». Об этом сообщается в Telegram-канале ГУ МВД по Иркутской области.
Обвиняемой 24 года. Как выяснили полицейские, в начале октября девушке позвонили от имени налоговой компании и попросили назвать код из смс-сообщения, что она и сделала. В последующем ей сообщили о якобы взломе её личного кабинета сайта Госуслуги и напугали, что ее данными завладели преступники.
«Затем ей звонили ненастоящие представители колл-центра сайта, центрального банка и силовых ведомств, запугивали уголовным преследованием за выдуманную госизмену, убедили взять более 300 тысяч рублей в кредит и перечислить им. В дальнейшем для разрешения финансовых проблем девушку уговорили купить топливо и поджечь указанный ими объект», — отмечается в сообщении.
Сейчас в отношении девушки возбуждено уголовное дело по части 2 статьи 205 УК РФ — террористический акт. Обвиняемая на опросе у полицейского отметила, что осознавала общественную опасность своих действий, но то, что её использовали, на тот момент не понимала.Напомним, в ночь на 12 ноября в Киренске сначала загорелся трансформатор, а спустя некоторое время огонь вспыхнул рядом с автозаправкой. Пожар возле бензоколонки удалось быстро потушить очевидцам. Пожар на трансформаторе привёл к тому, что без света остались 36 домов и 6 соцобъектов. На месте остались вещественные доказательства, полицейские быстро установили личность подозреваемой.
Ариэль Эмет Специально для «УК24» фото и видео: из открытых источников Канал в Телеграмм Наш Инстаграм Страничка в Одноклассник  
1748
0
13.11.2025 в 16:44